Maintaining strong teeth and healthy gums goes beyond brushing and flossing. Your diet plays a crucial role in dental health, and ensuring you get the right vitamins can make a significant difference. If you’re looking for expert gum treatment, a periodontist in London can provide specialised care. Below are the top five vitamins essential for optimal oral health.
1. Vitamin D – The Calcium Absorber for Strong Teeth & Healthy Gums
Vitamin D is vital for strong teeth because it helps your body absorb calcium efficiently. Without enough Vitamin D, your teeth may become brittle, increasing the risk of decay and gum disease.
Sources of Vitamin D:
- Sunlight exposure
 - Fatty fish (salmon, mackerel)
 - Egg yolks
 - Fortified dairy products
 
2. Vitamin C – The Gum Protector for Better Periodontal Health
Vitamin C is essential for maintaining gum health. It strengthens blood vessels and connective tissues, reducing the risk of gum inflammation and bleeding (gingivitis). A deficiency in Vitamin C can lead to scurvy, which severely affects oral health.
Sources of Vitamin C:
- Citrus fruits (oranges, lemons)
 - Strawberries
 - Bell peppers
 - Leafy greens
 
3. Calcium – The Tooth Enforcer for Stronger Teeth
Calcium is the building block of teeth and bones. Without enough calcium, your teeth can weaken, leading to cavities and tooth loss. Visiting our gum specialist in London can help ensure you’re maintaining optimal oral health.
Sources of Calcium:
- Dairy products (milk, cheese, yoghurt)
 - Almonds
 - Leafy greens (kale, spinach)
 - Sardines
 
4. Vitamin A – The Saliva Booster for Oral Protection
Vitamin A is responsible for maintaining healthy saliva production, which helps wash away bacteria and food particles, preventing plaque buildup. It also plays a role in the development of strong enamel.
Sources of Vitamin A:
- Carrots
 - Sweet potatoes
 - Liver
 - Spinach
 
5. Vitamin K – The Enamel Protector for Long-Term Gum Health
Vitamin K works as a shield for your teeth by helping to block substances that break down enamel. It also supports bone metabolism, ensuring your jawbone remains strong and your teeth stay firmly in place. For expert advice, consult our London periodontist team which specialises in gum treatment.
Sources of Vitamin K:
- Leafy greens (kale, spinach, broccoli)
 - Fermented foods
 - Cheese
 - Meat
 
Keep Your Gums Healthy with RW Perio
A well-balanced diet rich in these essential vitamins can significantly improve your gum health. Alongside regular dental check-ups, good oral hygiene, and a healthy lifestyle, these nutrients will keep your teeth and gums in top shape for years to come!
If you’re experiencing gum disease, receding gums, or other periodontal concerns, book a consultation with RW Perio, your trusted periodontist in London. Contact us today to take the first step towards healthier gums and a confident smile!
Understanding Tooth Enamel
What Is Tooth Enamel?
Tooth enamel is the hard, outermost layer of your teeth. It acts as a protective barrier against daily wear and tear, safeguarding your teeth from decay, bacteria, and damage. Despite being the hardest substance in the human body, enamel is not indestructible and does not regenerate once lost.
The Importance of Enamel in Dental Health
Enamel plays a crucial role in maintaining strong and healthy teeth. It helps prevent cavities, reduces tooth sensitivity, and ensures a bright, white smile. Without it, your teeth become more vulnerable to decay, breakage, and discolouration. Maintaining good gum health is also essential in preventing enamel erosion, making regular visits to a periodontist in London vital for overall oral health.
Signs of Tooth Enamel Loss
Increased Tooth Sensitivity
If you experience discomfort when consuming hot, cold, or sugary foods and drinks, this may be a sign of enamel erosion. As enamel wears down, the underlying dentin becomes exposed, making teeth more sensitive.
Discolouration and Transparency
Enamel loss can cause your teeth to appear yellowish, as the dentin beneath becomes more visible. In severe cases, the edges of the teeth may look translucent.
Cracks, Chips, and Rough Edges
Weakened enamel makes teeth more prone to physical damage, leading to cracks, chips, or rough surfaces.
Increased Cavities and Decay
Since enamel protects against bacteria and acids, its erosion makes teeth more susceptible to cavities, which can lead to more serious dental problems if left untreated.
Causes of Tooth Enamel Loss
Acidic Foods and Drinks
Frequent consumption of acidic foods and beverages, such as citrus fruits, fizzy drinks, and wine, can erode enamel over time.
Poor Oral Hygiene Habits
Failing to brush and floss properly can lead to plaque buildup, increasing the risk of enamel damage and gum disease.
Teeth Grinding and Clenching (Bruxism)
Grinding your teeth, whether during sleep or due to stress, can wear down the enamel, leading to increased sensitivity and tooth damage.
Acid Reflux and Medical Conditions
Gastroesophageal reflux disease (GERD) and other conditions that cause stomach acid to reach the mouth can accelerate enamel erosion.
Overuse of Whitening Products
Excessive use of whitening products, especially those with high concentrations of peroxide, can weaken enamel over time.
How to Protect Your Tooth Enamel
Maintain a Balanced Diet
Eating a diet rich in calcium, phosphorus, and vitamins helps strengthen enamel. Dairy products, leafy greens, and nuts are excellent choices.
Use Fluoride for Enamel Strengthening
Fluoride helps reinforce enamel, making it more resistant to acids. Using fluoride toothpaste and drinking fluoridated water can help maintain strong teeth.
Practice Proper Oral Hygiene
Brushing twice daily with a soft-bristled toothbrush and flossing regularly helps prevent plaque buildup and enamel erosion.
Avoid Acidic and Sugary Foods
Limiting acidic and sugary foods reduces the risk of enamel erosion and tooth decay.
Wear a Mouthguard for Grinding
A custom-fitted mouthguard can prevent enamel loss caused by teeth grinding.
Stay Hydrated and Chew Sugar-Free Gum
Drinking plenty of water helps rinse away acids and bacteria, while sugar-free gum stimulates saliva production, which naturally protects enamel.
Can Tooth Enamel Be Rebuilt?
The Role of Remineralisation
While lost enamel cannot regenerate, remineralisation can help strengthen and restore weakened areas. Fluoride treatments and remineralising toothpaste can aid in this process.
When to See a Dentist
Warning Signs That Require Professional Care
If you experience persistent tooth sensitivity, visible damage, or frequent cavities, it’s essential to seek professional dental care.
Conclusion
Tooth enamel plays a vital role in maintaining strong, healthy teeth. By adopting good oral hygiene practices, making dietary adjustments, and seeking professional dental care when necessary, you can protect your enamel and overall gum health. If you’re concerned about your gum health, consult our periodontist in London for expert advice on maintaining optimal oral health.
FAQs
Can enamel loss be reversed naturally? While lost enamel cannot grow back, remineralisation can help strengthen weakened areas with the help of fluoride and proper dental care.
How do I know if my enamel is thinning? Increased sensitivity, discolouration, and rough edges on your teeth are common signs of enamel erosion.
Is enamel loss a sign of ageing? While enamel naturally wears down over time, lifestyle habits and dietary choices can accelerate its erosion at any age. For expert care and periodontal treatment, visit RW Perio, London’s leading periodontist, to ensure your gums stay healthy for years to come.
The Ancient Wisdom You’ve Been Missing: Tongue Scraper
Ever wonder why your breath still isn’t fresh after brushing? Your tongue might be the culprit. While many of us diligently brush and floss, we’re overlooking a crucial player in our oral hygiene game: the tongue scraper. This simple yet powerful tool has been a cornerstone of oral health for millennia.
Ancient cultures were onto something – tongue scraper, or “jihwa prakshalana” in Ayurvedic medicine, has been practised for thousands of years. Traditional Chinese medicine also emphasises tongue cleaning as a way to maintain overall health. These ancestral practices weren’t just based on tradition – modern science is now validating their wisdom.
The Science Behind the Scrape
Your tongue is essentially a bacterial playground. Its rough, papillae-covered surface creates the perfect environment for microorganisms to thrive. Throughout the day, it collects:
- Dead cells from your mouth’s natural shedding process
 - Food debris from everything you eat and drink
 - Bacteria that feed on these particles
 - Volatile sulfur compounds that cause bad breath
 
This accumulation forms that white or yellow coating you might notice in the morning. While brushing your tongue with a toothbrush might seem like a good solution, it’s surprisingly ineffective on its own. A toothbrush is designed for the hard, smooth surface of teeth – not the textured landscape of your tongue.
The Flavour Enhancement Factor
Here’s where things get interesting: tongue scrapers can enhance your culinary experience. The coating that builds up on your tongue doesn’t just look unpleasant – it dulls your taste receptors. By removing this barrier, you’re allowing your taste buds to fully connect with what you’re eating and drinking.
Many users report that after regular tongue scraping:
- Coffee tastes richer and more nuanced
 - Sweet flavours become more distinct
 - Subtle herb and spice notes are more noticeable
 - The overall dining experience becomes more enjoyable
 
The Fresh Breath Connection
Bad breath affects nearly 50% of adults at some point, and that tongue coating is often the hidden culprit. The bacteria residing on your tongue produce volatile sulfur compounds (VSCs) – the primary cause of halitosis. Clinical studies have shown that regular tongue scraping can reduce these VSCs by up to 75%, which is significantly more effective than brushing alone.
Choosing Your Scraper: Material Matters
Not all tongue scrapers are created equal. Here’s what to consider:
Stainless Steel
- Most durable option
 - Easiest to clean and sterilise
 - Can last for years with proper care
 - Typically more effective at removing tongue coating
 - More environmentally friendly due to longevity
 
Copper
- Traditional Ayurvedic material
 - Natural antimicrobial properties
 - Develops a patina over time
 - May need more frequent replacement
 
Plastic
- More affordable initially
 - Good for beginners
 - Less durable
 - May need frequent replacement
 - Not as environmentally friendly
 
The Proper Technique
Using a tongue scraper effectively is simple but requires the right approach:
- Start first thing in the morning, before eating or drinking
 - Stick your tongue out comfortably
 - Place the scraper at the back of your tongue (as far as comfortable)
 - Apply gentle pressure
 - Pull the scraper forward in one smooth motion
 - Rinse the scraper between strokes
 - Repeat 2-3 times
 - Clean your scraper thoroughly and let it dry
 
Beyond Fresh Breath: Additional Benefits
Regular tongue scraping offers surprising benefits beyond the obvious:
- Improved Digestive Health: By removing bacteria and toxins, you’re preventing them from being ingested
 - Better Oral Immunity: Reducing bacterial load helps your mouth’s natural defences
 - Cleaner Teeth: Less bacteria in your mouth means less potential for tooth decay
 - Reduced Tongue Coating: Regular scraping prevents heavy buildup
 - Enhanced Oral Awareness: You’ll become more attuned to your oral health
 
Making It a Habit
Like any health practice, consistency is key. Keep your tongue scraper visible near your toothbrush as a reminder. Consider it as essential as brushing – because it is. The process takes less than a minute but can significantly impact oral health and overall well-being.
Remember, your mouth is the gateway to your body’s health. By incorporating tongue scraping into your daily routine, you’re not just freshening your breath – you’re participating in an ancient practice that modern science continues to validate. Your taste buds, breath, and oral health will thank you.
Ready to transform your oral hygiene routine? At RW Perio, we highly recommend starting with the clinical standard By Dr Reena Tongue Scraper and giving it at least two weeks of consistent use. You might be surprised at how much cleaner and fresher your mouth feels – and how much more you enjoy your favourite foods and beverages.
The Hidden Battle Between Your Mind and Your Gums
Imagine your gums as a frontline soldier, constantly fighting an invisible war against infection. The enemy? Plaque—that sticky bacterial film that creeps along your teeth, causing inflammation and weakening your oral defences. But here’s the twist: stress is the secret weapon compromising your gum health. Gum disease isn’t just about bad breath or bleeding gums.
It’s a serious infection that can destroy the tissues supporting your teeth, potentially leading to tooth loss. And in the pressure cooker of modern life—especially in London—your gums are taking a beating.
City Life’s Stress Epidemic on Your Oral Health, Especially your Gums
74% of London adults are constantly stressed. Work pressures, financial anxiety, and the city’s relentless pace turn stress into a silent health destroyer. But it’s not just about feeling overwhelmed—stress is wreaking havoc on your body’s natural defences.
When stressed, your body becomes a hormone factory, pumping out cortisol and adrenaline. These stress hormones don’t just give you headaches and sleepless nights—they systematically weaken your immune system, leaving your gums vulnerable to bacterial invasion.
The Shocking Numbers
- 30% of London adults aged 25-40 show signs of gum disease
 - Stressed individuals are nearly twice as likely to develop serious gum problems
 - Chronic stress can reduce your immune system’s ability to fight oral infections by up to 40%
 
How Stress Wages War on Your Gums
Stress doesn’t just sit in the background—it actively attacks your oral health:
- Elevated cortisol levels reduce immune system effectiveness
 - Increased teeth grinding and jaw clenching put extra pressure on gum tissues
 - Compromised immune responses make you more susceptible to bacterial infections
 
Your Stress-Releasing, Gum-Protecting Action Plan
Lifestyle Strategies for Healthier Gums
- Prioritise sleep: Aim for 7-8 hours of quality rest
 - Exercise regularly: Even 30 minutes of daily activity can reduce stress
 - Practice mindfulness: Meditation, deep breathing, or yoga can lower cortisol levels
 
Oral Health Tactics
- Brush twice daily with a soft-bristled toothbrush
 - Floss consistently to remove hidden plaque
 - Use an antimicrobial mouthwash
 - Schedule professional cleanings at least twice a year
 
Don’t Wait—Take Action Now for Gum Disease
Gum disease is a progressive condition. The earlier you address it, the better your chances of preventing serious damage. While a completely stress-free life might be unrealistic, you can take control of both your mental well-being and oral health.
Your Next Steps
- Book a dental checkup
 - Implement stress-reduction techniques
 - Commit to a consistent oral hygiene routine
 
Located in the city and concerned about your gum health? Book an appointment with our expert periodontist on Harley Street today. Your gums—and your peace of mind—will thank you.
Ready to Upgrade Your Oral Care with By Dr Reena?
Maintaining exceptional oral hygiene is more than just brushing twice a day – it’s about integrating holistic care into your daily routine. Dr Reena, a trusted expert in periodontics, brings a range of thoughtfully designed products that not only promote oral health but also elevate your daily self-care rituals. Whether you’re looking to enhance your lip care routine, improve tongue hygiene, or cleanse your mouth thoroughly, By Dr Reena’s collection combines science, precision, and luxury for a superior oral care experience.
1. The Mouth Cleanse: Refresh and Rejuvenate

For a refreshing cleanse that leaves your mouth feeling revitalised, By Dr Reena’s Mouth Cleanse is your go-to product. This unique mouthwash is formulated to combat harmful bacteria while providing a soothing, fresh feel after every use. Its gentle formula is designed to support periodontal health, making it ideal for individuals with sensitive gums or those undergoing periodontal treatment.
Regular use of the Mouth Cleanse helps maintain a balanced oral microbiome, reducing the risk of infections and promoting overall gum health. It’s the perfect companion to your daily brushing and flossing routine.
Key benefits:
- Fights bacteria that cause bad breath and gum disease
 - Soothes and refreshes the mouth
 - Supports sensitive gums and periodontal health
 
Explore The Mouth Cleanse and protect your gums with every rinse.
2. The Tongue Scraper: The Key to Fresh Breath

Often overlooked, the tongue holds bacteria that can lead to bad breath and poor oral hygiene. Dr Reena’s Tongue Scraper is designed to be a game-changer in your daily routine. Made from high-quality stainless steel, this scraper effectively removes the bacteria and toxins that accumulate on the tongue, improving overall oral health and freshening breath.
For those seeking periodontal care, using a tongue scraper daily helps reduce bacteria that can exacerbate gum disease, making it an essential tool for patients dealing with periodontal concerns.
Key benefits:
- Removes bacteria and toxins from the tongue
 - Improves breath and oral hygiene
 - Reduces the risk of gum disease
 
Enhance your oral hygiene with The Tongue Scraper and experience the difference.
3. The Lip Balm: Nourish and Protect

Lips are often overlooked in oral hygiene routines, but they play a crucial role in maintaining a healthy mouth. By Dr Reena’s Lip Balm offers much-needed hydration, nourishment, and protection. Formulated with natural ingredients like shea butter and jojoba oil, this balm not only soothes dry, chapped lips but also creates a protective barrier against environmental factors.
The moisturising properties make it ideal for those who frequently suffer from cracked lips, especially in colder weather. Regular use ensures your lips remain soft, smooth, and perfectly nourished, making it a must-have in your daily care routine.
Key benefits:
- Deeply hydrates and softens lips
 - Protects against dryness and environmental stressors
 - Perfect for daily use, especially in periodontal aftercare
 
Discover The Lip Balm, officially launching in January 2025, and bring moisture and protection back to your lips.
The Connection Between Oral Hygiene and Periodontal Care
As a periodontist, Dr Reena understands that oral hygiene extends beyond just brushing and flossing. Periodontal care involves maintaining the health of your gums and supporting tissues, which play a vital role in overall oral wellness. These products have been specially developed with this in mind, ensuring that each element of your oral care routine works to prevent periodontal issues and support long-term gum health.
Incorporating The Tongue Scraper and The Mouth Cleanse into your routine is particularly beneficial for patients with periodontal concerns, as these products target bacteria and toxins that can lead to gum disease. Even something as simple as applying The Lip Balm contributes to your oral health, as hydrated lips are less prone to cracks and infections.
By choosing By Dr Reena’s range, you’re not just investing in top-quality products; you’re investing in the longevity of your oral health.
Discover the Full Range Today
At By Dr Reena, we’re committed to offering products that enhance your oral care routine and support periodontal health. Whether you’re dealing with sensitive gums or simply want to maintain fresh breath, our products are designed with the highest level of care and expertise.
Visit By Dr Reena’s shop to explore our products more and how they can benefit your daily routine. For those looking to delve deeper into maintaining excellent periodontal health, check out our blog on the importance of oral hygiene in preventing gum disease here.
Your smile deserves the best – choose By Dr Reena for an elevated oral care experience.
Your gums play a vital role during pregnancy, acting as the foundation for your overall oral health and even impacting the well-being of your growing baby. While it’s perfectly normal for your gums to experience increased sensitivity and swelling due to hormonal changes, neglecting proper gum care can lead to a condition called pregnancy gingivitis, or gum disease. This inflammatory condition has been linked to several pregnancy complications, making it crucial for expectant mothers to prioritise their gum health during this delicate time.
We’ll delve into the connection between gum disease and pregnancy risks, exploring the potential consequences and underlying mechanisms. But don’t worry; we’ll also provide you with practical tips and strategies to maintain optimal gum health throughout your pregnancy journey, ensuring the best possible outcome for both you and your little one.
1. The Link Between Gum Disease and Pregnancy Complications
Gum disease during pregnancy has been associated with an increased risk of several complications, including preeclampsia (high blood pressure), preterm birth, and low birth weight. But how exactly does this oral health issue potentially contribute to these adverse outcomes?
According to research, the inflammation caused by gum disease can enter the bloodstream and trigger an exaggerated immune response throughout the body. This heightened inflammatory state may then interfere with the placenta’s ability to deliver adequate nutrients and oxygen to the developing foetus, leading to potential growth restrictions or premature labour.
One study published in the Journal of Periodontology found that women with moderate to severe gum disease were at a significantly increased risk of delivering preterm, low-birth-weight babies compared to mothers with healthy gums. Another study published in the Journal of Clinical Periodontology revealed a strong association between gum disease and preeclampsia, a potentially life-threatening condition characterised by high blood pressure and protein in the urine.
While the exact mechanisms behind these connections are still being studied, experts believe that the inflammatory molecules and bacteria released by gum disease may contribute to the placental inflammation and dysfunction observed in these complications.
2. Maintaining Gum Health During Pregnancy
Excellent oral hygiene is your best defence against gum disease during pregnancy. However, the hormonal changes that occur during this time can make your gums more vulnerable to inflammation and bleeding, even with diligent brushing and flossing.
As your progesterone levels rise, your gums may become more sensitive to plaque and bacterial buildup, leading to pregnancy gingivitis. This condition is characterised by swollen, tender, and bleeding gums, and if left untreated, it can progress to more severe forms of gum disease.
However, don’t worry – pregnancy gingivitis typically resolves after childbirth when your hormone levels return to normal. In the meantime, prioritising your oral care routine and seeking professional assistance if needed is crucial to maintaining gum health during pregnancy. Here are some simple yet effective steps to incorporate into your daily routine:
- Brush your teeth twice daily for two minutes each time, using a soft-bristled brush and fluoride toothpaste. Proper brushing technique is essential for removing plaque and food particles from your teeth and gums.
 
- Floss daily to remove plaque and food debris from between your teeth and beneath the gum line, areas your toothbrush can’t reach.
 
- Rinse with an antimicrobial mouthwash to help reduce bacteria in your mouth and promote gum health.
 
- Eat a balanced, nutrient-rich diet and stay hydrated to support your overall health and immune system.
 
- If you experience morning sickness, avoid brushing immediately after vomiting, as the stomach acid can temporarily weaken your enamel. Instead, rinse your mouth with water and brush about an hour later.
 
In addition to your at-home routine, it’s crucial to maintain regular dental visits and cleanings during pregnancy. Your dental professional can provide a thorough cleaning and identify any areas of concern that may require additional attention or treatment.
3. The Role of a Periodontist
A periodontist, like our team at Harley Street, is a dental specialist who focuses on the prevention, diagnosis, and treatment of gum diseases and other issues affecting the supporting structures of the teeth. During pregnancy, periodontal expertise can be invaluable in maintaining your gum health and addressing any concerns that may arise.
If you’re experiencing persistent gum inflammation, bleeding, or discomfort, your dentist may recommend a visit to a periodontist. Our periodontists can provide specialised treatments, such as scaling and root planing (a deep cleaning procedure to remove plaque and tartar buildup beneath the gum line) or targeted therapies for active gum disease.
Scaling and root planing involve carefully removing plaque, tartar, and bacterial deposits from the tooth surfaces and root areas. This process helps eliminate the sources of inflammation and allows the gum tissues to heal and reattach to the teeth. In some cases, antimicrobial or antibiotic treatments may be recommended to control the bacterial infection associated with gum disease.
Additionally, our periodontists can offer preventive measures, such as customised oral hygiene instructions, antimicrobial treatments, and frequent monitoring, to help manage your gum health proactively during this critical period.
4. Tips for Expectant Mothers
To ensure optimal gum health throughout your pregnancy, here are some essential tips to keep in mind:
- Maintain regular dental visits and cleanings, as recommended by your dentist or periodontist. These appointments are crucial for monitoring your gum health and addressing any concerns promptly.
 
- Practise diligent oral hygiene at home, including brushing, flossing, and using an antimicrobial mouthwash as directed by your dental professional.
 
- Communicate openly with your dental team about your pregnancy and any concerns you may have regarding your gum health. They can provide personalised advice and adjust your treatment plan as needed.
 
- Seek prompt treatment for any gum-related issues, such as persistent inflammation, bleeding, or discomfort. Addressing these concerns early can prevent further progression of gum disease and potential complications.
 
- Be mindful of your diet and hydration levels, as a balanced, nutrient-rich diet and adequate water intake can support your overall health and immune function.
 
Extra Care and Precaution
Hormonal changes during pregnancy can make your gums more vulnerable to plaque, leading to inflammation and bleeding. This is also called pregnancy gingivitis or gum disease.
It’s caused when your body produces more of the hormone progesterone, which boosts the blood supply to the mouth and makes gums more sensitive to bacteria. (The good news is, that once your baby’s born, pregnancy gingivitis should go away.)
If you experience morning sickness, try to avoid brushing immediately after vomiting to protect your enamel. Instead, rinse your mouth with water and brush about an hour later, once the acid levels have neutralised.
- Brush your teeth twice a day for a full 2 minutes
 - Use a toothpaste that has 1000 to 1500 parts per million (ppm) of fluoride in it.
 - Spit out toothpaste when you’ve finished, but do not rinse.
 
Conclusion
Your gum health during pregnancy is closely intertwined with the well-being of both you and your growing baby. By understanding the potential risks associated with gum disease and taking proactive steps to maintain a healthy mouth, you can reduce your chances of experiencing pregnancy complications and ensure the best possible outcome for your little one.
Remember, your dental team is there to support you throughout this incredible journey. Don’t hesitate to consult a periodontist if you have any concerns or need specialised care. By prioritising your gum health, you’ll not only promote a more comfortable pregnancy but also give your baby the best possible start in life.
Periodontal disease is a common condition that affects the gums and the bone that supports the teeth. Despite its prevalence, there are still many misconceptions about it that can lead to delayed treatment and even tooth loss.
In this blog, we will clear up five common misconceptions with insights from a periodontist in London.
Periodontal Disease Only Affects Older People
Contrary to popular belief, periodontal disease can affect people of all ages. While it is more common in older adults, younger people can also develop the condition. Poor oral hygiene, smoking, diabetes, and certain medications can increase the risk of it at any age. Therefore, it is essential to maintain healthy teeth and gums from a young age to prevent this. At RW Perio, we provide supportive periodontal therapy, in which when active treatment is complete, supportive therapy maintains the health improvements achieved.

Brushing and Flossing Alone Can Be A Preventative
While brushing and flossing are essential for maintaining good oral hygiene, they are not enough to prevent the disease. Regular dental check-ups and professional cleanings by a periodontist are also necessary. A periodontist can detect the early signs and recommend appropriate treatment to prevent them from progressing.
Bleeding Gums Are Normal
Many people assume that bleeding gums are natural, particularly when brushing or flossing their teeth. Bleeding gums, on the other hand, are a sign of inflammation and can be an indication of this disease. As a result, if your gums bleed on a frequent basis, you should consult a periodontist. If you’re curious to know why your gums are persistently bleeding, read about it here – “What Your Bleeding Gums are Trying to Tell You”.
Periodontal Disease Only Affects Gums
The gums and the bone that holds the teeth in place are both affected by periodontal disease. If left untreated, it can lead to tooth loss as well as other major health issues like heart disease and diabetes. If you have any indications of these symptoms, it is critical that you seek treatment from a periodontist. Read our latest article on what you can do about your receding gums – “Is Gum Recession Reversible”.
Periodontal Treatment Is Painful and Expensive
Many people skip periodontal therapy because they believe it will be painful and costly. Periodontal therapy, however, is now more comfortable and affordable than ever before, thanks to contemporary periodontal treatment procedures. Postponing therapy may result in more extensive and costly treatment in the future. Why not try our Online Gum Health Check today?

Clearing up Misconceptions
Periodontal disease is a serious condition that can affect anyone at any age. Maintaining healthy teeth and gums, seeing a periodontist regularly, and seeking prompt treatment can help prevent this from progressing. If you have any questions about periodontal health or periodontal treatment, contact us for a specialist assessment here at RW Perio.
Find Out Whether You Need to See a Periodontist
Periodontal health is a crucial aspect of overall well-being, yet it’s often overlooked until issues become severe. A periodontist is a dental specialist focusing on the prevention, diagnosis, and treatment of periodontal disease, as well as the placement of dental implants. Maintaining healthy gums is essential not only for a beautiful smile but also for your general health. Here are ten signs that you might need to schedule a visit to a periodontist.
Bleeding Gums
One of the earliest and most common signs of periodontal disease is gum bleeding. Bleeding, especially when brushing or flossing, indicates that your gums are inflamed. This inflammation, known as gingivitis, can progress to more serious periodontal disease if left untreated. If you notice persistent bleeding, it’s time to seek professional help.
Persistent Bad Breath
Chronic bad breath, or halitosis, can be more than just an embarrassing inconvenience. It often stems from bacterial buildup in the mouth, which is a hallmark of periodontal disease. Unlike the temporary bad breath from foods like garlic or onions, persistent bad breath is a sign that bacteria are thriving below the gumline, causing infection and odour. If mouthwash and good oral hygiene aren’t enough to combat bad breath, a periodontist can help diagnose and treat the underlying cause.
Swollen or Red Gums
Healthy gums should be firm and pink. Swollen, red, or tender gums are a clear indication of inflammation, which can be an early sign of periodontal disease. This inflammation is your body’s response to bacterial infection in the gum tissue. If your gums appear puffy or red, especially along the gumline, it’s essential to seek professional evaluation to prevent further damage.
Loose Teeth
Gum disease affects the tissues that support your teeth, including the periodontal ligament and jawbone. As these structures deteriorate, teeth can become loose and may eventually fall out if the disease is not treated. Loose teeth are a serious sign that you need immediate periodontal care. Addressing the issue promptly can save your teeth and prevent further complications.
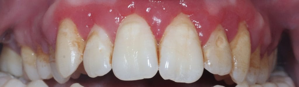
Receding Gums
Gum recession occurs when the gum tissue pulls back, exposing more of the tooth or its root. This condition can be a sign of advanced periodontal disease. Receding gums can cause sensitivity and increase the risk of cavities and tooth loss. Early signs of gum recession include longer-looking teeth or increased sensitivity. Visiting a periodontist can help identify the cause and prevent progression.
Pain While Chewing
Experiencing pain while chewing can be a signal of periodontal problems. While tooth decay can also cause chewing discomfort, periodontal disease often leads to pain due to inflammation, infection, or damage to the supporting structures of the teeth. Distinguishing between different types of dental pain is crucial, and a periodontist can diagnose and treat the specific cause of your discomfort.
Gum Pocket Formation
Gum pockets are spaces that form between the teeth and gums due to the detachment of the gum tissue from the teeth. These pockets can become deeper over time, trapping food particles and bacteria, which exacerbates the infection. Early detection and treatment of gum pockets are vital to prevent severe periodontal disease. Regular dental check-ups can help identify and manage this condition effectively.
Changes in Bite
Periodontal disease can alter the way your teeth fit together when you bite, chew, or speak. If you notice changes in your bite or the alignment of your teeth, it could be due to shifting caused by bone loss or gum disease. Such changes should not be ignored, as they can lead to more severe dental issues. A periodontist can assess these changes and provide appropriate treatment to stabilise your bite.
Sensitivity to Temperature
Increased sensitivity to hot or cold foods and beverages is another sign of gum issues. This sensitivity often results from exposed tooth roots due to receding gums or enamel loss. While sensitivity can also be caused by tooth decay, periodontal disease should be considered if it’s accompanied by other symptoms like gum recession or swelling. Consulting a periodontist can help determine the exact cause and appropriate treatment.
5 Tips for Maintaining Healthy Gums
Learn effective strategies to keep your gums healthy and prevent periodontal disease.
Conclusion
Recognising the signs of periodontal disease early can prevent severe dental problems and maintain your oral health. If you experience any of the symptoms mentioned above, it’s crucial to seek professional advice from a periodontist. Early intervention can save your teeth, improve your gum health, and enhance your overall well-being. Don’t wait until the problem becomes too severe—schedule a consultation with our periodontist today if you notice any of these signs.

Many of us were taught from a young age that good oral hygiene is crucial for a healthy smile. This meant brushing your teeth twice a day or more. But is there actually such a thing as brushing your teeth too much? Surprisingly, over-brushing can do more harm than good. Read on to learn about the top 5 risks of being overzealous with your toothbrush.
Extreme tooth brushing can lead to:
1. Tooth Wear
Brushing too aggressively or too frequently can actually wear away your tooth enamel over time. This enamel is the outer protective layer of your teeth. Once enamel wears away, the next layer of the tooth called dentin gets exposed. Dentin is much softer and more porous than enamel. This means it provides less protection against external substances that can irritate the inner tooth and cause pain. Dentin contains thousands of tiny tubules leading to the inner dental pulp that register hot, cold and pressure sensitivities. Without the enamel barrier, these sensitivities are heightened.
Loss of enamel also leaves teeth prone to cavities and tooth decay. Enamel has a crystalline structure that helps prevent bacteria from adhering to teeth. Without it, bacteria can start to penetrate into micro holes in the exposed dentin, raising your risk of cavities, tooth infections and decay. According to the British Dental Association, up to 30% of adults display signs of tooth wear caused by over brushing.
2. Gum Recession
Excessive brushing can also rub away at your gums, leading to gum recession. This is when your gums gradually pull away from your teeth, exposing more tooth surface and root. Receding gum puts you at greater risk for decay and increased sensitivity. About 8% of UK adults have some form of gum recession, reports the Adult Dental Health Survey.
Find out more: Is Gum Recession Reversible?
3. Sensitivity
Worn enamel and gum recession leave microscopic cracks and openings in your teeth for hot, cold, sweet, or acidic foods and liquids to penetrate. This leads to increased sensitivity and pain when eating and drinking. To help reduce sensitivity from worn enamel and receding gums, try using a sensitivity toothpaste containing ingredients like potassium nitrate or arginine to block pain transmission. Avoiding very hot or cold foods can also help, as can getting any cavities filled quickly before they reach the nerve.
4. Damaged Tooth Roots
The roots of your teeth lie below your gum line. Brushing too forcefully near the gums can actually scrub away the root surface material. This causes increased sensitivity and can open you up to infections.
5. Loss of Tooth Structure
Repeated aggressive brushing over time can cause your teeth to become loose, thin, or grooved. This overall loss of tooth structure not only damages aesthetics but can also lead to dental issues like decay, cracking, or the need for crowns or implants.
Read about: Gum Aesthetics 101: Everything You Need to Know About Achieving a Perfect Smile
Protect Your Smile From Too Much Tooth Brushing
The good news is that by adjusting your brushing habits, you can avoid the dangers of overbrushing. Be sure to use a soft-bristled toothbrush and brush gently using small, circular motions or better still use an electric toothbrush but only hold it on the tooth rather than moving it around (let it do the work for you). Opt for brushing just twice per day for two minutes each time. And see your dentist regularly, as they can catch early signs of wear and tear.
If you think you may be overbrushing, don’t wait. Give our periodontist in London a call today to discuss your oral health. We’re here to help you achieve better brushing habits and your healthiest smile.